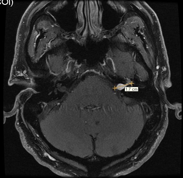
Discussion of the 3 year checkup
I went back to Stanford for an MRI and a consult with Dr. Jackler and
Dr. Gibbs in
late September 2008
My thanks again to Laurie Tupper for setting up all of the appointments.
Both doctors are happy with what they see.
Here is the image from the MRI

I will return in 1 year, and will hope Laurie will again help set up
all of my appointments.
Back to schwannoma home page
Back to snowedunder home page
This page last updated on January 23, 2010
Copyright 2007-2010 - D. Samuels